Borrar
Dos de los operarios retiran los techos. de amianto.

El coronavirus oculta la pandemia secreta del amianto

No sabemos cuántas personas fallecerán en el mundo por la primera pandemia del siglo. Es seguro que muchas morirán con sus pulmones lesionados previamente por respirar amianto.

Manuel Peinado y José Miguel Sanz

Catedrático de Universidad. Departamento de Ciencias de la Vida e Investigador del Instituto Franklin de Estudios Norteamericanos, Universidad de Alcalá | Profesor Asociado en Ciencias de la Salud. Departamento de Medicina y Especialidades Médicas, Universidad de Alcalá

Domingo, 3 de mayo 2020, 11:40

Comenta

Como si de una maldición se tratara, en la segunda quincena de febrero de 2020, cuando se acababan de suspender las labores de desamiantado en el metro de Madrid, en la capital de España surgió otro asesino invisible: el nuevo coronavirus que causa la COVID-19. Ambos, amianto y virus, llegaron desde Oriente y se originan en la naturaleza.

Todos tenemos una cita con Caronte, pero no sabemos cuándo. En un precioso artículo entre melancólico y esperanzado, el filósofo Jesús Mosterín comunicó en 2015 que sufría mesotelioma, un cáncer pleural provocado por la exposición al amianto. Jesús pensó que la Parca de momento había pasado de largo. La cita había quedado aplazada.

En El séptimo sello, la película de Bergman, Max von Sydow juega al ajedrez con la muerte intentando alargar su vida. La partida de Mosterín duró dos años. Murió en la madrugada del 4 de octubre de 2017. En los obituarios publicados en los principales diarios de edición nacional hubo una especie de conspiración del silencio: las palabras «amianto» y «mesotelioma» no aparecían por ninguna parte.

Cada veinte minutos muere en España una persona debido al cáncer de pulmón, un tumor maligno del que en nuestro país se diagnosticarán este año casi 30 000 nuevos casos. Entre el 8 % y el 12 % de ellos se deben a la exposición al amianto, lo que implica que cerca de 3 000 fallecidos en España por cáncer de pulmón serán víctimas del amianto el año en curso.

Detalle de fibras de amianto blanco (crisotilo), aflorando en una placa de fibrocemento (uralita), en vías de degradación por haber superado los 40 años del máximo de su vida útil. Anthony Rich, 2014. Asbestorama

A esos hay que sumar unos 500 fallecidos por mesotelioma, que es la media del trienio 2016-2018, el último del que hay datos disponibles. Como además del cáncer de pulmón hay otras enfermedades relacionadas con la exposición al amianto (asbestosis, cáncer de ovario y laringe), en 2016 fallecieron 4 952 españoles a causa del amianto, lo que significa que ese mineral fibroso fue la causa de al menos una de cada cien muertes en España.

De cada 20 000 fallecidos por COVID-19 en España, una triste cifra que ya hemos sobrepasado, al menos 200 corresponderán a víctimas del amianto. Eso sin contar que la patología crónica pulmonar secundaria derivada de la exposición al amianto puede representar un marcador de riesgo de mala evolución de la enfermedad provocada por el coronavirus.

Publicidad de Keasbey Mattison Co Letterhead. Cincinnati. 1901. Anthony Rich, 2014. Asbestorama, Author provided

Debido a las milagrosas propiedades físicas de los minerales de los que se obtiene, el asbesto se ha usado desde muy antiguo para una gran variedad de productos manufacturados. Principalmente en materiales de construcción, productos mecánicos de fricción, textiles ignífugos, envases y revestimientos.

La exposición al asbesto o amianto se produce por inhalación de las fibras presentes en el aire contaminado de las fábricas y talleres donde se manipula, y en el aire próximo a puntos emisores del interior de viviendas y locales construidos con materiales que lo contienen.

Muchos edificios construidos durante el desarrollismo español, y al menos hasta los años 90 del siglo pasado, todavía contienen materiales fabricados con crisotilo (amianto blanco, que corresponde al 90 % de la producción mundial), por lo que siguen siendo una fuente de exposición a las fibras durante su mantenimiento, reforma o demolición.

Trabajadores en una fábrica de tejados de amianto en Lancashire, entre 1914-1918. Imperial War Museum

El mayor productor de amianto en el mundo es actualmente Rusia, en especial en los montes Urales, de donde procedía el 80 % por ciento del mineral importado en España hasta su prohibición total en 2001 y de donde derivó el nombre de Uralita, la empresa líder en el sector a partir de los años cuarenta junto a otra media docena de grandes compañías que, sin ningún control y con pleno conocimiento del poder cancerígeno del amianto al menos desde 1947, son responsables de que la incidencia del cáncer de pulmón en trabajadores expuestos no fumadores sea 6 veces más frecuente que en la población general. También de que la mayoría de edificios construidos en España entre 1965 y 1984 contengan amianto, bien en sus elementos estructurales bien en sus instalaciones, hasta el punto de que algunos expertos estiman que los españoles vivimos rodeados por tres millones de toneladas de amianto.

El cáncer más específicamente vinculado con la exposición al amianto es el mesotelioma. Con excepción de las radiaciones ionizantes, la única causa de esta enfermedad es la exposición al amianto. De hecho, sus registros han servido para conocer la magnitud de la exposición al amianto en todo el mundo. Esta es solamente la punta del iceberg de las muertes provocadas por el amianto. El tumor maligno que más frecuentemente provoca es el cáncer de pulmón.

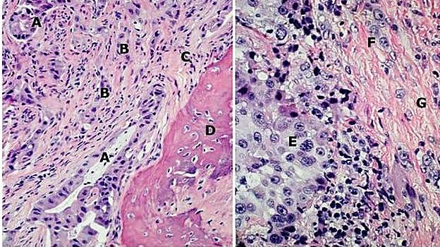
Imágenes histológicas de un cáncer de pulmón infiltrando parrilla costal (izquierda) y de un mesotelioma pleural (derecha). Cortes de inclusión en parafina, tinciones de H&E. En la imagen de la izquierda se observa una proliferación epitelial de patrón glanduliforme, relativamente bien definida (A), y mal definida (B), que induce una reacción estromal desmoplásica (C), y engloba una trabécula ósea (D). La celularidad expresa TTF-1 (adenocarcinoma pulmonar). La imagen de la derecha muestra un nido sólido tumoral con celularidad de hábito epitelioide (E), con algunas células tumorales dispersas (F) en el seno de un estroma laxo de colágena (G). La celularidad expresa calretinina (mesotelioma) J.M. Sanz Anquela

Una relación que debe ser estudiada

Una relación que debe ser estudiada

Las personas con patología pulmonar crónica corren mayor riesgo de sufrir enfermedad grave por Covid-19. Aunque están descritos distintos tipos de enfermedad crónica pulmonar provocada por amianto, cuando escribimos este artículo todavía no había ni una sola publicación científica indexada entre las más de 7 300 que figuraban en PubMed, la mayor base de datos de investigación biomédica del mundo, que relacionara los términos «COVID-19» y «asbesto». Ese es un sorprendente vacío.

Tanto las diminutas fibras de amianto como el nuevo coronavirus nos invaden por vía respiratoria. Mientras que las enfermedades que provoca el amianto tardan décadas en aparecer desde la primera exposición, los síntomas de la enfermedad provocada por la COVID-19 aparecen incluso dentro de la primera semana tras el contagio y los casos letales fallecen en un mes.

Por el contrario, las muertes que provoca el amianto quedan diluidas a lo largo de grandes periodos de tiempo y, aunque la exposición directa o indirecta a la fibra asesina pueda ser tan mortífera como el propio virus, los fallecidos no se acumulan en semanas o meses. Por tanto, no saturan ni los sistemas asistenciales de salud, ni los servicios funerarios.

Muchas de las víctimas del nuevo coronavirus morirán con los pulmones llenos de amianto y nunca lo sabremos. Como recordaba José Saramago en Ensayo sobre la ceguera, todas las vidas se acaban antes de tiempo. Y aunque la vida de las víctimas del amianto es ya de por sí más corta, puede acabarse cualquier día imputada como una más de las muertes de la pandemia que nos asola. Una vez más serán víctimas ignoradas.

Artículo publciado en The Conversation.

Publicidad

Publicidad

Publicidad

Publicidad

Esta funcionalidad es exclusiva para suscriptores.

Reporta un error en esta noticia

* Campos obligatorios

lasprovincias El coronavirus oculta la pandemia secreta del amianto

El coronavirus oculta la pandemia secreta del amianto